Citotoxicidade e genotoxicidade da água do rio Subaé (Humildes, Bahia, Brasil) usando Allium cepa L. como bioindicador
Palabras clave:
anormalidades cromossômicas, ecotoxicologia, índice mitótico, monitoramento ambiental
Resumen
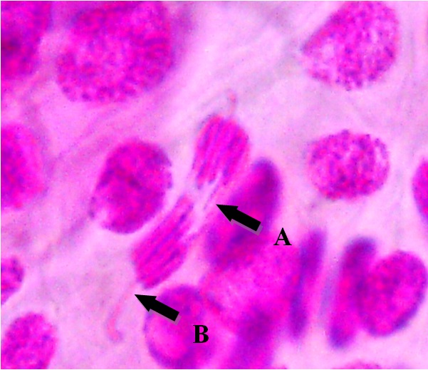
Ao longo dos anos, o rio Subaé na Bahia tem sido impactado por atividade industrial pelo lançamento de efluentes tóxicos em suas águas. O presente estudo analisou os efeitos citotóxicos e genotóxicos provocados pela água do trecho deste rio que banha o município de Humildes-BA, utilizando o teste do Allium cepa. Amostras de água foram obtidas em três pontos de coleta (PI, PII e PIII) para as análises de parâmetros fisico-químicos. Bulbos de A. cepa foram colocados por 72 h para germinação nas amostras de água em triplicata. As radículas foram submetidas por 12-h a 4 oC, fixadas em Carnoy por 12-h e coradas com técnica de Feulgen. Foram analisadas 6.500 células/tratamento. A citotoxicidade foi avaliada pelo índice mitótico (IM) e a genotoxicidade, por anormalidades cromossômicas (AC). Os testes fisico-químicos revelaram que PI e PIII apresentavam valores de OD, DBO5 e DQO alterados. O teste de toxicidade indicou que houve inibição do crescimento das raízes nos pontos PI (10,3 %) e PII (10,6 %), quando comparados ao controle negativo (11,9 %). No PI, foram encontrados 6,2 % de ACs, 6 % em PII e 5,4 % em PIII, valores acima do controle positivo (3 %), evidenciando o efeito genotóxico nos pontos estudados. A partir dos resultados, pode-se inferir que as águas do Rio Subaé podem conter substâncias que provavelmente estão afetando o ciclo celular do A. cepa, sendo importante que outras análises sejam realizadas em diferentes estações do ano, para melhor monitoramento das condições ambientais locais.
Publicado
08/12/2014
Número
Sección
Articulos
Authors maintain the copyrights for their work. However, they grant rights of first publication to Ambiente e Agua - An Interdisciplinary Journal of Applied Science. In compensation, the journal can transfer the copyrights, allowing non-commercial use of the article including the right of sending the article to other data bases or publication media. La revista utiliza la licencia CC BY 4.0"

